Radiographies
Comment ça marche
Elle permet la visualisation d'un organe, d'un os ou de toute autre partie du corps, sur un écran d'ordinateur puis peut être imprimée.
Cet examen complètement indolore peut être potentiellement utilisé par toutes les spécialités médicales pour affiner un diagnostic.
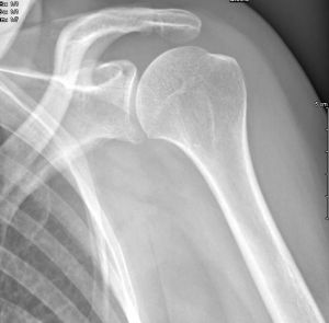
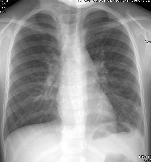
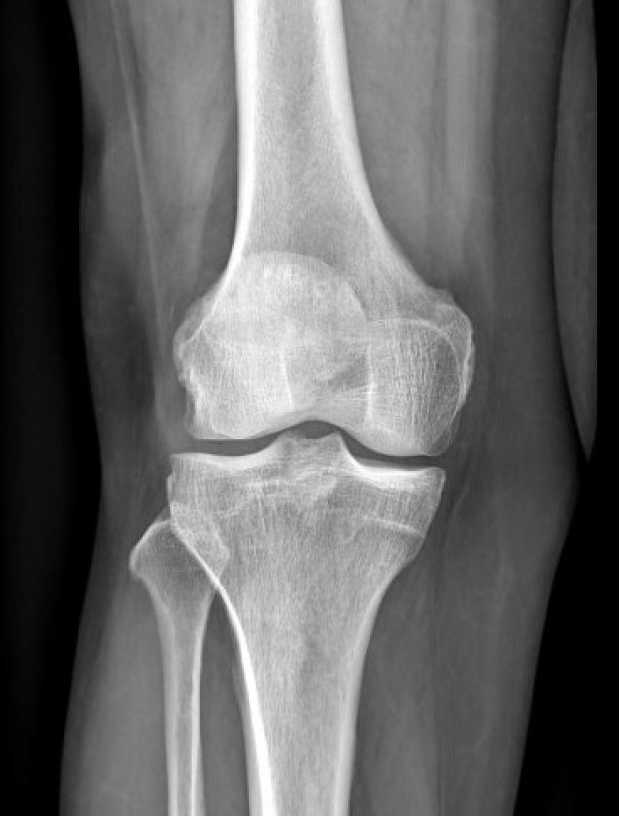
Les radiographies sont fréquemment requises entre autres, pour la recherche d'une fracture dans le cadre d'un traumatisme, les bilans d'arthrose, les bilans statiques, l'étude des poumons au cours d'une radiographie thoracique ...
Rayons X
La radiographie utilisant les rayon X , certaines contre-indications sont possibles ; Les femmes enceintes ne doivent pas par précaution être exposées aux rayons X
sauf en cas d'urgence.
Les rayons X font parti des rayonnements électromagnétiques (ionisants) au même titre que les ondes radios, les infrarouges, la lumière ou les UV. Il ne faut pas en abuser mais utilisés à bon escient dans le domaine médical, ils sont indispensables pour l'établissement de certains diagnostics.
Les tubes à rayons X de nouvelle génération délivrent maintenant de très faibles doses; la dose délivrée figure en bas sur votre compte rendu
Le contrôle qualité obligatoire des machines est régulièrement organisé afin d'éviter tout incident
Il faut savoir qu'une radio des poumons délivre l'équivalent d'1-2 jours d'exposition aux rayons isonisants naturels
Quelques explications sur le déroulement
Pour les informations sur des examens plus spécialisés en radiologie conventionnelle, c'est par ICI
D'un principe simple et d'une réalisation assez rapide, voici comment votre examen va se dérouler:
-
Après vous avoir fait entrer dans la salle de préparation, le manipulateur vous précise les vêtements à enlever si nécessaire.
-
Selon la partie du corps à examiner le manipulateur vous mettra dans une certaine position, debout ou allongé sur la table d’examen.
-
L’équipe médicale est derrière la vitre, le manipulateur vous voit et vous entend parfaitement.
-
La durée de l’examen peut varier selon le nombre de séries de clichés à réaliser.
En bref
1. 5 à 15 minutes d'examen
Réaliser dans différentes positions selon les "incidences" utiles au diagnostic.
4. des rayons X
Un principe simple et toujours d'actualité pour le diagnostic.
2. Grossesse
Les femmes enceintes ne doivent pas par précaution être exposées aux rayons X
sauf en cas d'urgence.
3. résultats
La réalisation des résultats peut prendre 5 heures. Vous pouvez venir rechercher votre dossier, mais aussi récupérer votre compte-rendu par internet.
EN SAVOIR PLUS
-
Hystérographie

Qu'est-ce que c'est ? 
L’examen a pour but d’étudier la cavité utérine et la perméabilité des trompes.
Elle est réalisée par voie endovaginale après introduction d’un spéculum (comme lors d’un examen gynécologique).
Le produit opaque injecté rend visible sur les radiographies la cavité utérine et les trompes. Cet injection provoque une gène comparable à celle ressentie lors de règles douloureuses.
Les radiographies sont effectuées avant, pendant et après l’opacification.La préparation
- Etre en première partie de cycle entre le 5ème et le 12ème jour après le début des règles
- Amener le produit nécessaire à l’examen selon l’ordonnance.
- Ne pas venir à jeûn,
- Signaler une allergie,
- N’oubliez pas la lettre de votre médecin et vos anciens examens.
- Signaler des saignements importants